Minimal / No-Prep Veneers in Oklahoma City:
Transforming Smiles
With Precision

Discover a smarter approach to smile enhancement. HARA Dental’s minimal and no-prep veneers in OKC offer an innovative solution that respects your natural tooth structure while creating stunning, refined results.

The Hara Difference

What Makes HARA's Minimal No-Prep Veneers Different?​

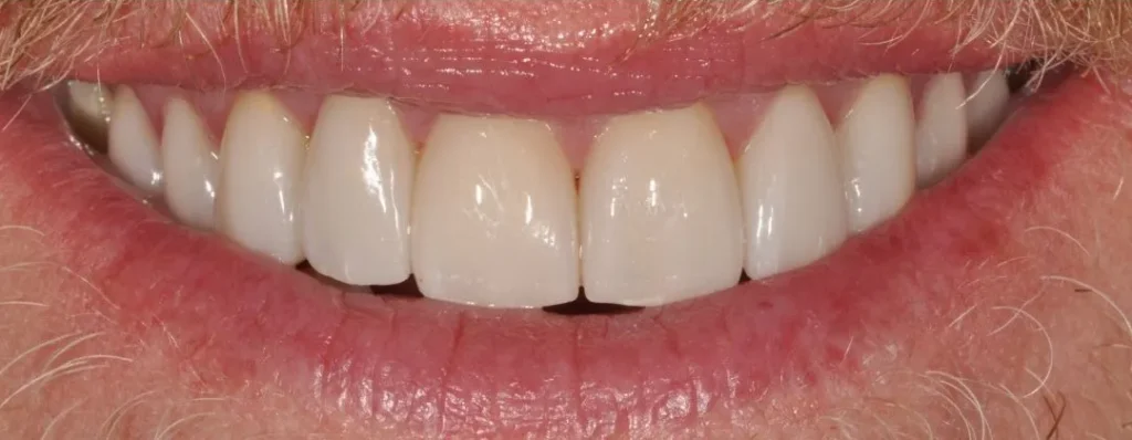
Minimal No Prep Veneers

Traditional veneers often require extensive tooth reduction. At HARA Dental, Dr. Grace has developed an approach that challenges this standard, focusing on minimal intervention with maximum aesthetic impact.

Each veneer is a carefully crafted solution, designed to enhance your smile while preserving the integrity of your natural teeth. We use ultra-thin porcelain that requires minimal to no tooth alteration, creating a transformation that looks and feels completely authentic.

The Hara Difference

How Do Our no-prep Veneers transform Your Smile?

Woman In Jogging Suit Smiling
HARA’s approach to minimal and no-prep veneers represents a sophisticated alternative for patients seeking meaningful improvements:
  • Microscopic to zero enamel removal
  • Potential treatment reversibility
  • Full preservation of natural tooth strength
  • Faster, less invasive treatment

minimal prep veneers okc

Where Technology Meets Artistry

Our minimal veneers embody the intersection of advanced dental technology and aesthetic expertise. Crafted from premium porcelain measuring less than a millimeter thick, these veneers are engineered to be both incredibly strong and remarkably subtle.

Dr. Grace utilizes state-of-the-art digital scanning to create veneers that are meticulously matched to your existing teeth. Each veneer is a custom-designed solution, created to complement your unique smile with undetectable perfection.

Our no-prep veneers create a transformation that looks and feels completely authentic.

Entrepreneur In Office With Laptop Smiling

We specialize in nuanced corrections that speak to the most discerning patients:

Transforming teeth discolored beyond traditional whitening's reach.

Harmonizing subtle variations in tooth shape and alignment.

Concealing minute structural imperfections with artistic precision.

Rebuilding dental confidence through imperceptible architectural improvements.

Model Smiling
At HARA, our obsession is respecting your natural tooth structure while creating stunning, refined results.

The Visionary Cosmetic Dentist

Meet Dr. Grace: The Visionary Behind HARA

HARA—meaning “happiness” in its purest form—represents more than just a dental practice. It embodies Dr. Grace Jun’s philosophy that every patient deserves a smile that reflects their inner confidence and natural beauty. A distinguished member of the American Academy of Cosmetic Dentistry and featured in 405 Magazine, Dr. Grace Jun brings both professional recognition and media acclaim to her innovative approach. Her commitment is simple yet revolutionary—preserve natural tooth structure while delivering exceptional aesthetic results.
OKC Cosmetic Dentist Dr. Grace Jun, DDS

Your Smile Transformation

Your Transformative No-Prep Veneers Experience at HARA

Dentist Grace Blowing a Kiss While Holding Cosmetic Teeth Model

Your journey begins with an in-depth virtual consultation that goes far beyond typical dental interactions. Dr. Grace takes a holistic approach, understanding not just your dental needs, but your personal aesthetic vision. Through advanced digital imaging and a comprehensive smile analysis, we create a detailed blueprint of your smile transformation.

Our minimal/no-prep approach combines artistic vision with conservative dental techniques, preserving your natural teeth while enhancing your smile.

We begin with advanced digital visualization, allowing you to see your potential transformation before treatment starts. This collaborative preview helps you make confident decisions about your smile’s future appearance.

The HARA consultation process goes deeper than standard appointments. We carefully listen to understand your aesthetic goals, then develop a precise treatment plan that harmonizes with your facial features and personal preferences.

Our commitment to tooth conservation sets us apart. Unlike traditional methods, our minimal-prep technique preserves most of your natural tooth structure while using premium, ultra-thin materials to create beautiful results.

At HARA Dental, your veneer experience is both personal and unhurried. Each appointment takes place in our comfortable environment where quality care is the priority. You’ll receive dedicated attention throughout your smile transformation journey.

Woman Laughing With Big Smile

The HARA Approach

Beauty, Precision And The Confidence You Deserve

Dr. Grace – The go-to cosmetic dentist for those who want top-quality care.

Virtual Smile Consult

1
2
3
Name